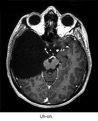
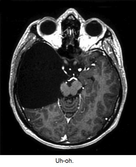
But there's one all too real ethical dilemma, a direct consequence of modern neuroscience, that gets very little attention. This is the problem of incidental findings on MRI scans.An "incidental finding" is when you scan someone's brain for research purposes, and, unexpectedly, notice that something looks wrong with it. This is surprisingly common: estimates range from 2–8% of the general population. It will happen to you if you regularly use MRI or fMRI for research purposes, and when it does, it's a shock. Especially when the brain in question belongs to someone you know. Friends, family and colleagues are often the first to be recruited for MRI studies.
This is why it's vital to have a system in place for dealing with incidental findings. Any responsible MRI scanning centre will have one, and as a researcher you ought to be familiar with it. But what system is best?
Broadly speaking there are two extreme positions:
- Research scans are not designed for diagnosis, and 99% of MRI researchers are not qualified to make a diagnosis. What looks "abnormal" to Joe Neuroscientist BSc or even Dr Bob Psychiatrist is rarely a sign of illness, and likewise they can easily miss real diseases. So, we should ignore incidental findings, pretend the scan never happened, because for all clinical purposes, it didn't.
- You have to do whatever you can with an incidental finding. You have the scans, like it or not, and if you ignore them, you're putting lives at risk. No, they're not clinical scans, they can still detect many diseases. So all scans should be examined by a qualified neuroradiologist, and any abnormalities which are possibly pathological should be followed-up.
Most places adopt a middle-of-the-road approach. Scans aren't routinely checked by an expert, but if a researcher spots something weird, they can refer the scan to a qualified clinician to follow up. Almost always, there's no underlying disease. Even large, OMG-he-has-a-golf-ball-in-his-brain findings can be benign. But not always.
This is fine but it doesn't always work smoothly. The details are everything. Who's the go-to expert for your study, and what are their professional obligations? Are they checking your scan "in a personal capacity", or is this a formal clinical referral? What's their e-mail address? What format should you send the file in? If they're on holiday, who's the backup? At what point should you inform the volunteer about what's happening?
Like fire escapes, these things are incredibly boring, until the day when they're suddenly not.
A new paper from the University of California Irvine describes a computerized system that made it easy for researchers to refer scans to a neuroradiologist. A secure website was set up and publicized in University neuroscience community.
Suspect scans could be uploaded, in one of two common formats. They were then anonymized and automatically forwarded to the Department of Radiology for an expert opinion. Email notifications kept everyone up to date with the progress of each scan.
This seems like a very good idea, partially because of the technical advantages, but also because of the "placebo effect" - the fact that there's an electronic system in place sends the message: we're serious about this, please use this system.
Out about 5,000 research scans over 5 years, there were 27 referrals. Most were deemed benign... except one which turned out to be potentially very serious - suspected hydrocephalus, increased fluid pressure in the brain, which prompted an urgent referral to hospital for further tests.
There's no ideal solution to the problem of incidental findings, because by their very nature, research scans are kind of clinical and kind of not. But this system seems as good as any.
